
Oxidative stress is considered to contribute to the development of cancer. However, a recent study in Japan showed that oxidative stress may suppress rather than cause cancer development in individuals with variants of the BRCA2 gene. This finding was published in Redox Biology.
The BRCA2 gene is present in all individuals and plays a crucial role in repairing DNA damage. It is known that people with pathological variants of this gene are more susceptible to certain types of cancer, including breast and ovarian cancer.
For this reason, it can be hypothesized that oxidative stress poses a high risk of cancer development in individuals with BRCA2 pathological variants. However, there has not been enough data to validate this.
“Until now, there were no animal models that accurately reproduced human BRCA2 pathological variants,” said Yuki Maeda, first author of the study and a graduate student at the Nagoya University Graduate School of Medicine. “Therefore, there was no experimental evidence indicating whether oxidative stress actually increases the risk of developing cancer in careers of BRCA2 pathological variants.”
To clarify this, Maeda, Professor Shinya Toyokuni, and their colleagues at Nagoya University conducted a study in collaboration with Professor Tomoji Mashimo of the Institute of Medical Science at the University of Tokyo.
They initially created rat models with Brca2 mutations that mimic human BRCA2 pathological variants, using a gene-editing technology. These mutant rats spontaneously developed malignant tumors at a rate of 36.8%, which is significantly higher than the 5.3% observed in wild-type rats. This result confirmed that the model accurately reflects human hereditary cancer risk.
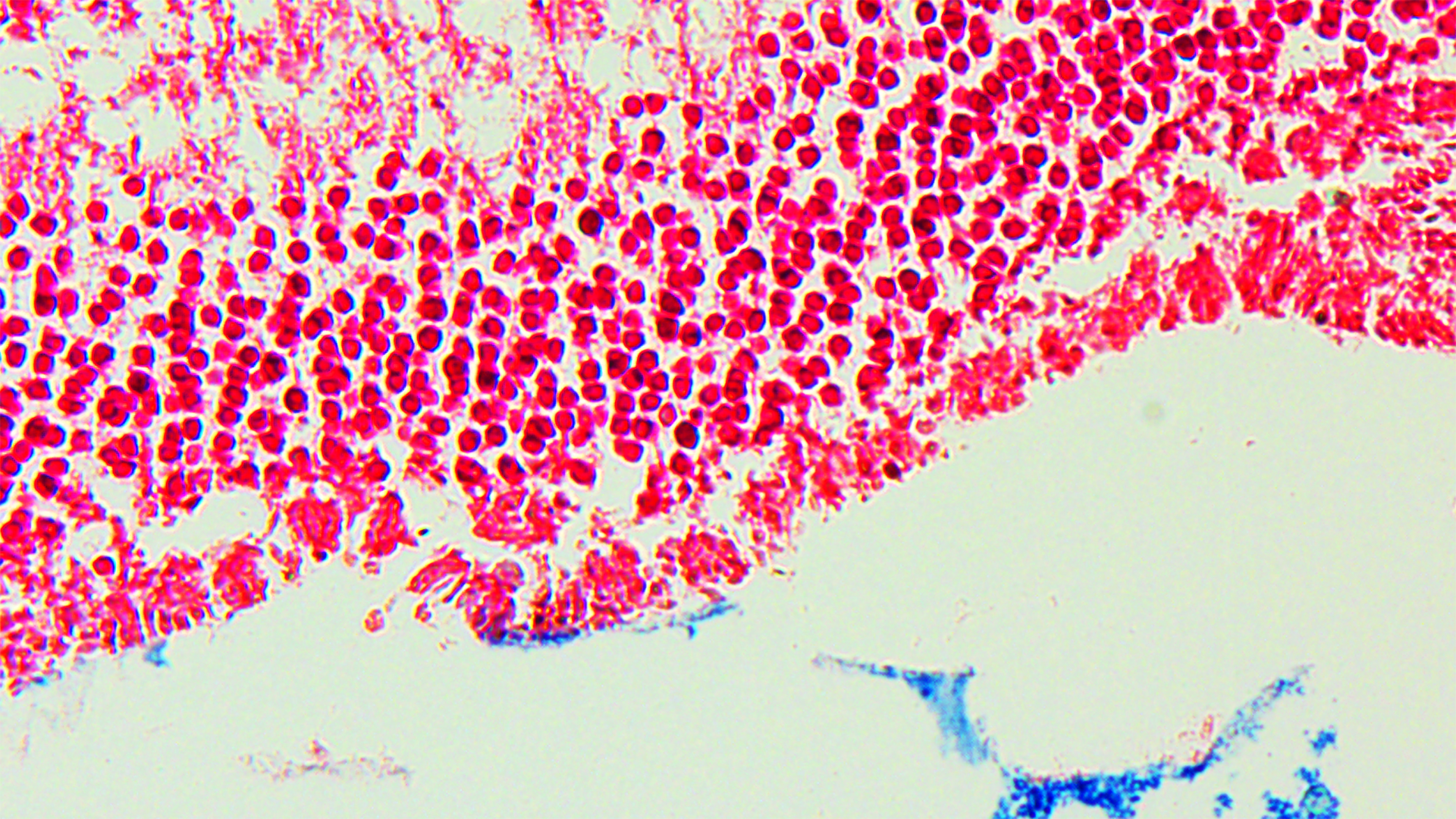
The researchers then induced oxidative stress in the Brca2 mutant rats by administering ferric nitrilotriacetate (Fe-NTA) to their renal tubules. They used Fe-NTA, a form of iron, in this experiment, because oxidative stress caused by iron overload is reported to be highly associated with cancer development. However, no differences were found in tumor incidence, progression speed or malignancy grade between wild-type and Brca2-mutant rats. Then, they investigated why iron-dependent oxidative stress canceled the cancer-promoting effect of the BRCA2mutation.
One week after the administration of Fe-NTA, the rats’ tubular cells exhibited an increase in antioxidant activity. Consequently, lipid peroxidation was inhibited, and resistance to ferroptosis—a type of cell death dependent on iron—was observed.
However, three weeks after starting Fe-NTA administration, the researchers observed the opposite effect. In the Brca2 mutant rats, the accumulation of catalytic iron damaged mitochondria and led to an increase in lipid peroxidation. As a result, ferroptosis was activated, which surprisingly contributed to the elimination of cells with the potential to become cancerous. These results suggest that ferroptosis counteracted the genomic instability caused by BRCA2 deficiency, acting instead as a tumor suppressor.
The experiments revealed that, rather than promoting the development of cancer, iron-induced oxidative stress inhibited it in Brca2 mutant rats. This is the first experimental evidence contradicting the hypothesis that iron-induced oxidative stress promotes cancer development in individuals with BRCA2 pathological variants.
“Radiation exposure is believed to trigger cancer development via the same pathway as iron-derived oxidative stress,” said Maeda. “Our finding suggests that avoiding radiation exposure may not necessarily be the best method for people with BRCA2 pathological variants.”
Based on this finding, the researchers aim to elucidate how BRCA2 pathological variants induce cancer development. They hope that their discovery will lead to new methods of preventing and treating cancer.
The study, “Iron-catalyzed oxidative stress compromises cancer promotional effect of BRCA2 haploinsufficiency through mitochondria-targeted ferroptosis,” was published in the journal Redox Biology on June 24, 2025, at DOI: 10.1016/j.redox.2025.103739.
Authors:
Yuki Maeda, Yashiro Motooka, Shinya Akatsuka, Hideaki Tanaka, Tomoji Mashimo, and Shinya Toyokuni
Funding:
This work was supported in part by JST CREST (JPMJCR19H4) and JSPS Kakenhi (JP19H05462, JP20H05502 and JP16H06276 [AdAMS (Aa210038)]), as well as by Nagoya University CIBoG WISE program from MEXT.
Media Contact:
Naomi Inoue
International Communications Office, Nagoya University
Email: icomm_research@t.mail.nagoya-u.ac.jp
Top image: How BRCA2-deficiency acts on Fe-NTA induced renal carcinogenesis (Credit: Shinya Toyokuni)

