A team of researchers from the Nagoya University Graduate School of Medicine has reported that patients with a rare form of brain and spinal cord cancer, localized isocitrate dehydrogenase wild-type (IDHwt) histologically diffuse astrocytoma, have a poor prognosis similar to the most malignant types of brain and spinal cord tumors. Their findings, published in the journal Scientific Reports, point to the need for strong postoperative care for patients with this type of tumor.
Gliomas are a tumor that originate in the glial cells that surround neurons in the brain. Under the microscope, gliomas can be divided into several types based on the type of cells they invade. These include astrocytomas, which, as their name suggests, infect astrocytes, an important type of neuron.
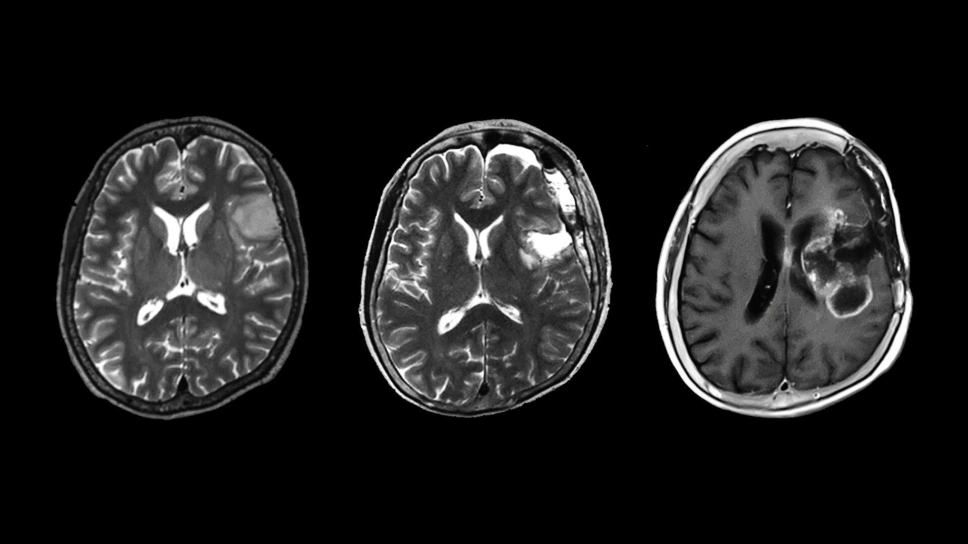
In 2016, to improve prognosis and patient management, the WHO classification of central nervous system tumors included a new classification of ‘diffuse gliomas’, based on the presence or absence of specific mutations. Two rare types of diffuse astrocytomas are infiltrative and localized isocitrate dehydrogenase wild-type (IDHwt) diffuse astrocytomas. Since they are so rare, there is a lack of information on whether the infiltrative or localized characteristics affect their prognosis and what this means for the patient.
The Nagoya University research team, led by Yuji Kibe and Kazuya Motomura of the Department of Neurosurgery, analyzed localized IDHwt astrocytomas and found that all resulted in malignant recurrence and a poor clinical prognosis similar to that of glioblastomas. Glioblastomas are among the most malignant tumors, with an average survival time of 8 months and less than 7% of patients survive for five years.
Motomura believes that the findings of the group are important for doctors and patients. “All tumors that we investigated had a dismal prognosis despite multidisciplinary treatment,” he said. “For patients with gliomas, our research results should lead patients to receive the proper clinical diagnosis and treatment. For physicians, IDHwt astrocytomas must be followed with great caution, even after total removal. Strong postoperative therapy should be considered. As almost all patients with diffuse astrocytomas present with radiographic imaging findings suggesting a localized tumor mass, physicians may misdiagnose the patient with a low-grade tumor instead of a malignant tumor; therefore, our findings suggest physicians should consider the possibility of such tumors.”

The study, "Imaging features of localized IDH wild-type histologically diffuse astrocytomas: a single-institution case series," was published in the journal Scientific Reports on January 16, 2023, at DOI: 10.1038/s41598-022-25928-2.
Authors
Yuji Kibe, Kazuya Motomura, Fumiharu Ohka, Kosuke Aoki, Hiroyuki Shimizu, Junya Yamaguchi, Tomohide Nishikawa, and Ryuta Saito
Media Contact
Matthew Coslett
- International Communications Office, Nagoya University
- kouho-en@adm.nagoya-u.ac.jp
