
The origins of a debilitating muscle-wasting disease begin at birth, not in adulthood, Nagoya University researchers have shown. A single treatment at this early stage significantly reduced nerve cell breakdown in adult mice.
Spinal and Bulbar Muscular Atrophy (SBMA) is a rare inherited disease that causes progressive muscle weakness and wasting in men. Patients typically develop early symptoms such as hand tremors in their thirties, but diagnosis usually occurs around age 40 when muscle weakness becomes more evident. Because the disease is triggered by high levels of testosterone, only males are affected.
Researchers at Nagoya University have found that a natural burst of testosterone right after birth causes a mutant protein to overactivate the nerve cells that control muscles (motor neurons) in newborn mice carrying the SBMA mutation. This ongoing overactivation eventually causes those nerve cells to break down in adulthood. The findings, published in Nature Communications, showed that treatment given at birth significantly reduced this breakdown.
While it is well established that abnormal protein accumulation in neurodegenerative diseases begins years or decades before symptoms appear, what actually happens in the body during this period remains poorly understood. This study focused on the earliest stage of SBMA, the first days after birth.
A brief natural spike in testosterone known as the neonatal testosterone surge or “mini-puberty” occurs in all newborn males and lasts approximately 10 days in mice and around 6 months in humans. Because the defective protein produced by the SBMA mutation—mutant androgen receptor protein—requires testosterone to move into the nucleus of motor neurons and cause damage, the team suspected that this surge represented the earliest moment at which the disease could be triggered.
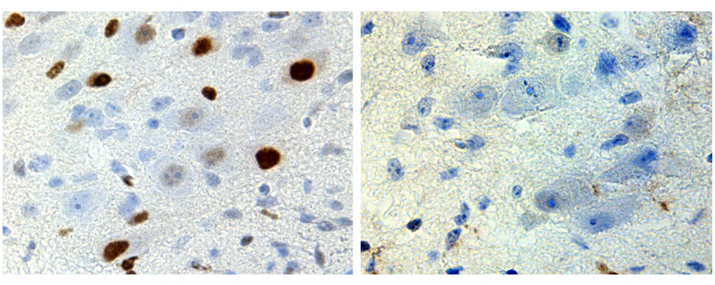
“We confirmed that mutant protein accumulates in the nuclei of motor neurons in male SBMA mice within the first day of life, driven by the neonatal testosterone surge. Female mice with the same mutation showed no such effects, confirming that testosterone is the key trigger,” said lead author and assistant professor Tomoki Hirunagi from Nagoya University’s Graduate School of Medicine.
Additionally, genes responsible for activating nerve cells, especially glutamate receptors, were abnormally overactive in SBMA mice in the first week of life and caused motor neurons to become overactive. Importantly, the same abnormal overactivity was also observed in motor neurons grown in the laboratory from the cells of actual SBMA patients. This suggests that the disease process in humans may follow the same pattern.
To test whether treating the disease at birth could help, the researchers administered two gene-silencing drugs to newborn mice with the SBMA mutation, one targeting the mutant protein directly, and one targeting REST4, a protein found to drive the abnormal nerve cell overactivity.
The drug targeting the mutant protein temporarily reduced mutant protein levels and the drug targeting REST4 corrected abnormal gene activity in motor neurons. Both treatments improved survival and motor performance, and decreased motor neuron degeneration in mice assessed at 13 weeks of age.
“Perhaps the most remarkable finding was that a drug given at birth to target the mutant protein continued to protect motor neurons months later, even though the drug effects had worn off within two weeks. This suggests that intervening at the right moment early in life can have lasting consequences, long after the treatment is gone,” Dr. Hirunagi said.
REST4, the protein found to drive the abnormal nerve cell overactivity in SBMA, represents a potential new target for future therapies.
Nagoya University has previously developed leuprorelin acetate, the only drug approved in Japan for SBMA treatment, making these discoveries part of a broader research legacy in tackling the disease.
The research team identified the next priority as determining whether the same abnormal nerve cell overactivity occurs in human SBMA patients. “This is currently very difficult to study directly, because examining newborn nervous system activity in living patients is not feasible. Our goal is to translate these findings into patient care,” Dr. Hirunagi said. The team also intends to evaluate the safety of gene-silencing drugs and the efficacy of repeated treatment.
Paper information:
Tomoki Hirunagi, Kentaro Sahashi, Madoka Iida, Kazunari Onodera, Satoshi Yokoi, Yosuke Ogura, Genki Tohnai, Kenji Sakakibara, Kentaro Maeda, C. Frank Bennett, Yohei Okada, Masahisa Katsuno (2026). Restoring early postnatal synaptic dysregulation rescues motor neuron degeneration in a mouse model of Spinal and Bulbar Muscular Atrophy, Nature Communications, 17: 2412. DOI: https://doi.org/10.1038/s41467-026-70244-2.
Funding information:
This study was supported by the Japan Society for the Promotion of Science (JSPS) KAKENHI (Grant numbers: JP20H00527, JP23H00420, JP24K18683, JP23K24249, JP24K18712, JP25K02585) and the Japan Agency for Medical Research and Development (AMED) (Grant numbers: JP22nk0101575, JP22am0401007, JP22bm0804020, JP25bm1423003).
Expert contact:
Tomoki Hirunagi
Graduate School of Medicine
Nagoya University
E-mail: hirunagi.tomoki.k3@f.mail.nagoya-u.ac.jp
Masahisa Katsuno
Graduate School of Medicine
Nagoya University
E-mail: katsuno.masahisa.i1@f.mail.nagoya-u.ac.jp
Media contact:
Merle Naidoo
International Communications Office
Nagoya University
Email: icomm_research@t.mail.nagoya-u.ac.jp
Top image:
Microscopy images of spinal cord tissue from male (left) and female (right) SBMA model mice on the first day after birth. Brown staining indicates accumulation of the mutant androgen receptor protein in motor neuron nuclei. The protein accumulates extensively in male mice but shows little to no accumulation in female mice, confirming that testosterone drives the early accumulation of the mutant protein in motor neurons. Credit: Hirunagi et al., 2026

